Unikátní operace v Prachaticích: Ortopedi nahradili pacientovi obě kolena šetrnou metodou
PRACHATICE – Na ortopedickém oddělení Nemocnice Prachatice byl minulý týden proveden unikátní výkon – implantace oboustranné částečné náhrady kolenního kloubu. Jde o málo frekventovaný typ operace, který se provádí jen na menším počtu ortoepedických pracovišť v České republice.
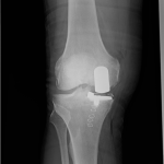
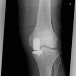
Unikondylární náhrada představuje šetrnější variantu totální endoprotézy – nahrazuje pouze poškozenou část kolenního kloubu, zatímco zbytek zůstává zachován. Aby pacient z operace skutečně profitoval, je nutné splnění indikačních kritérií, která lze shrnout do několika bodů: artrotické postižení jedné poloviny kloubu a dobrý stav té druhé, funkční vazy, dobrý rozsah pohybu, nepřítomnost výrazné deformity.
Unikondylární náhrada pak pro pacienta znamená menší zásah do organismu, rychlejší hojení a lepší funkční výsledky. „Tento koncept přesně zapadá do filozofie našeho ortopedického oddělení, kdy se snažíme nabízet širší škálu léčebných postupů, abychom byli schopni pacientům nabízet optimální řešení ušité na míru,” upřesňuje primář Martin Stárek.
S oboustrannými implantacemi totálních endoprotéz mají v prachatické nemocnici již několikaleté zkušenosti. Nyní však poprvé provedli dvojitou operaci částečné náhrady. Zásadní je přitom nejen zvládnutá operační technika, ale i souhra celého týmu, díky které je pacient schopen se již v prvních hodinách po výkonu postavit, operované klouby zatížit a relativně bezbolestně zvládat rehabilitaci.
Ačkoliv se může zdát, že jde o mimořádně náročný zákrok, diskomfort pacienta rozhodně není dvojnásobný. Naopak – během jedné hospitalizace a jedné rekonvalescence se vyřeší oba problémy najednou. Pro lidi s pokročilým postižením obou kolen to znamená výrazné zlepšení kvality života v kratším čase.
Pavel Jelínek
